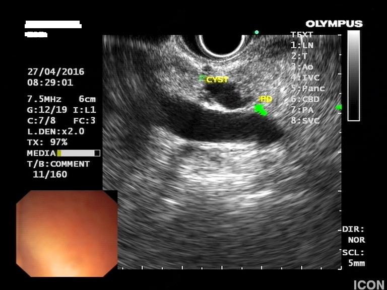
1) Ενδοπορικό θηλώδες βλεννώδες νεόπλασμα παγκρέατος (IPMN)
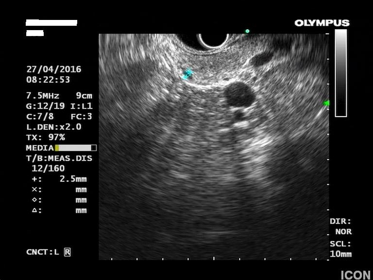
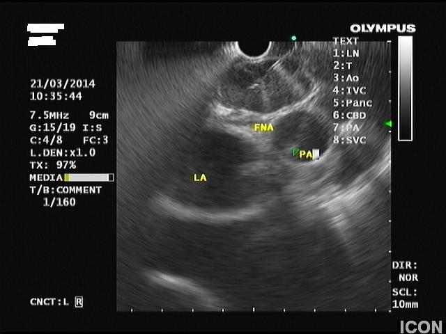
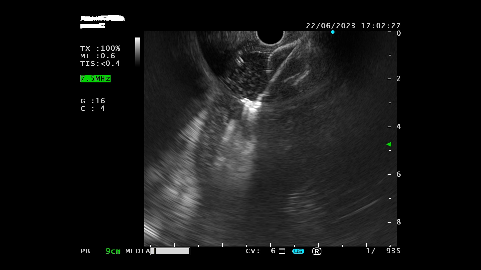
Γυναίκα 58 ετών, υποβλήθηκε προληπτικά σε υπέρηχο άνω κοιλίας όπου διαπιστώθηκε μια κύστη στην κεφαλή του παγκρέατος. Το εύρημα επιβεβαιώθηκε σε μαγνητική τομογραφία (MRI/MRCP) που δεν έδειξε άλλα παθολογικά ευρήματα στο πάγκρεας. Ο ενδοσκοπικός υπέρηχος έδειξε μια δίχωρη κύστη, διαστάσεων 6,5Χ12,5 χιλ, στην παγκρεατική κεφαλή.
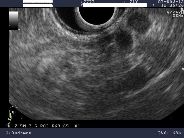
Η κύστη είχε επικοινωνία με κλάδο του παγκρεατικού πόρου, ενώ ο μείζων παγκρεατικός πόρος ήταν φυσιολογικής διαμέτρου σε όλη την πορεία του. Επίσης, διαπιστώθηκε δεύτερη κύστη διαμέτρου 2,5χιλ στο σώμα του παγκρέατος που δεν είχε απεικονιστεί στην MRI.
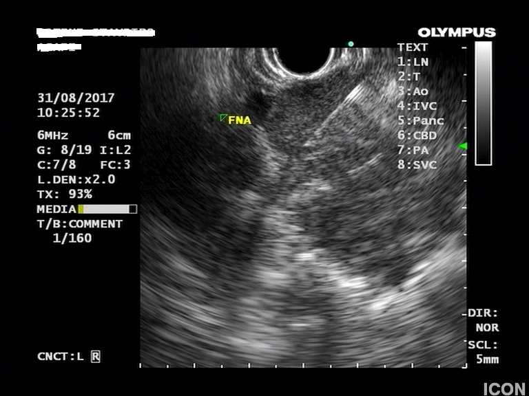
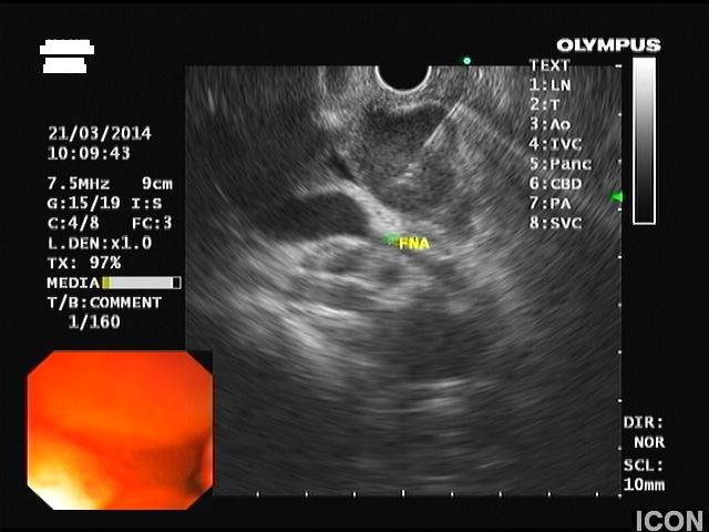
Έγινε βιοψία με λεπτή βελόνα 22g (FNA) και αναρροφήθηκε πλήρως η κύστη της κεφαλής. Οι βιοχημικοί δείκτες του υγρού της κύστης ήταν: CEA 467, αμυλάση 1550.
Τα ευρήματα ήταν συμβατά με ένα ενδοπορικό θηλώδες βλεννώδες νεόπλασμα των κλάδων του πόρου (branch-duct IPMN).
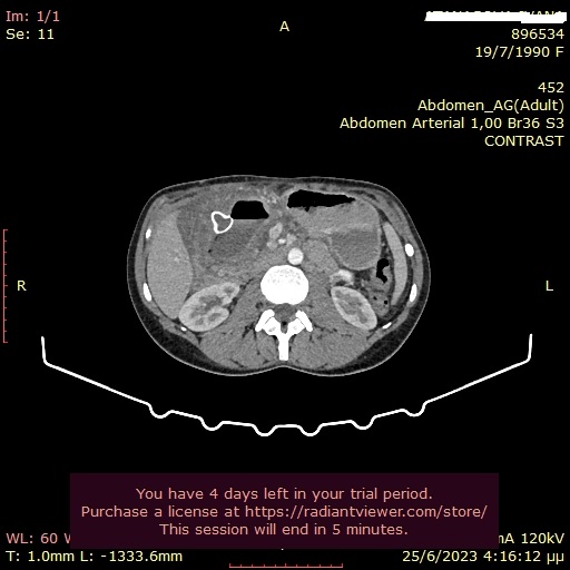
Κύστη κεφαλής παγκρέατος
Κύστη κεφαλής παγκρέατος
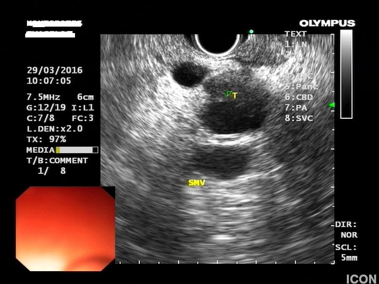
Επικοινωνία κύστης με παγκρεατικό πόρο
Επικοινωνία κύστης με παγκρεατικό πόρο
Επικοινωνία κύστης με παγκρεατικό πόρο
Επικοινωνία κύστης με παγκρεατικό πόρο
Δεύτερη μικρότερη κύστη στο σώμα του παγκρέατος
Δεύτερη μικρότερη κύστη στο σώμα του παγκρέατος
Δεύτερη μικρότερη κύστη στο σώμα του παγκρέατος
Δεύτερη μικρότερη κύστη στο σώμα του παγκρέατος
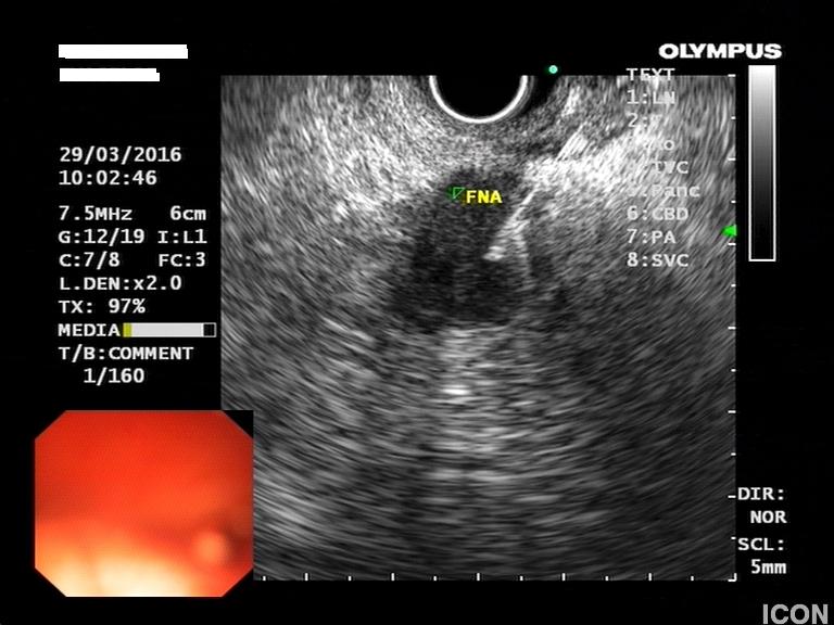
Λήψη υγρού με λεπτή βελόνη (FNA)
Λήψη υγρού με λεπτή βελόνη (FNA)
https://mail.alkis-efthymiou.com/peristatika-gastrenterologos-thessaloniki.html#sigProGalleria4c9d3abba5
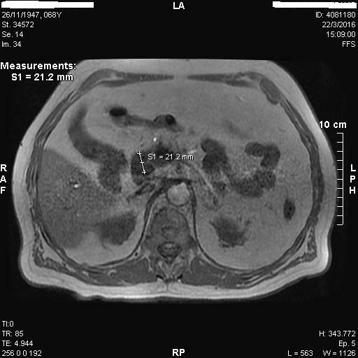
2) Αδενοκαρκίνωμα παγκρέατος
Άνδρας 68 ετών, χωρίς προηγούμενο ατομικό ή οικογενειακό ιστορικό, διαγνώσθηκε με σακχαρώδη διαβήτη από τον παθολόγο του σε εργαστηριακό έλεγχο ρουτίνας.
Στα πλαίσια διερεύνησης του πρωτοεμφανιζόμενου διαβήτη, υποβλήθηκε σε μαγνητική τομογραφία άνω κοιλίας (MRI/MRCP) που ανέδειξε μια συμπαγή μάζα στην κεφαλή του παγκρέατος, διαμέτρου περίπου 2εκ και μεγάλη διάταση του παγκρεατικού πόρου.
Ο ασθενής υποβλήθηκε σε ενδοσκοπικό υπέρηχο που έδειξε μια υποηχοϊκή μάζα διαμέτρου 21 χιλιοστών, με σαφή όρια, στην παγκρεατική κεφαλή και μεγάλη διάταση του χοληδόχου πόρου και του παγκρεατικού πόρου (διάμετρος 12 χιλιοστά).
Η μάζα είχε ξεκάθαρο διαχωριστικό όριο λίπους από την άνω μεσεντέριο φλέβα και δεν διηθούσε κανένα άλλο μεγάλο αγγείο της περιοχής (πυλαία φλέβα, σπληνοπυλαία συμβολή και αρτηρίες). Έγινε βιοψία με λεπτή βελόνη (FNA Χ3) και το κυτταρολογικό υλικό ήταν θετικό για αδενοκαρκίνωμα παγκρέατος. Το νεόπλασμα κρίθηκε χειρουργήσιμο και ο ασθενής υποβλήθηκε σε επέμβαση Whipple κατά την οποία αφαιρέθηκε πλήρως η παγκρεατική κεφαλή και ο όγκος σε υγιή όρια αλλά και 12 λεμφαδένες που ήταν όλοι αρνητικοί για κακοήθεια. Ο ασθενής υποβάλλεται σε συμπληρωματική χημειοθεραπεία.
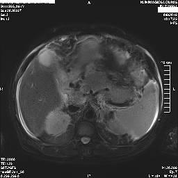
Μάζα παγκρέατος στη μαγνητική τομογραφία
Μάζα παγκρέατος στη μαγνητική τομογραφία
ΜRCP: διάταση παγκρεατικού πόρου
ΜRCP: διάταση παγκρεατικού πόρου
Ενδοσκοπικός υπέρηχος: διάταση παγκρεατικού πόρου
Ενδοσκοπικός υπέρηχος: διάταση παγκρεατικού πόρου
Μάζα σώματος παγκρέατος στον ενδοσκοπικό υπέρηχο
Μάζα σώματος παγκρέατος στον ενδοσκοπικό υπέρηχο
Διαχωριστικό όριο μεταξύ μάζας και αγγείου
Διαχωριστικό όριο μεταξύ μάζας και αγγείου
Λήψη βιοψίας (FNA)
Λήψη βιοψίας (FNA)
https://mail.alkis-efthymiou.com/peristatika-gastrenterologos-thessaloniki.html#sigProGalleria7370820928
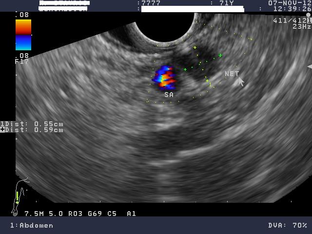
3) Νευροενδοκρινικός όγκος παγκρέατος (ινσουλίνωμα)
Άνδρας 71 ετών παρουσίαζε υποτροπιάζοντα επεισόδια υπογλυκαιμίας από 2ετίας. Είχε υποβληθεί σε λεπτομερή ορμονολογικό έλεγχο σε εξειδικευμένο ενδοκρινολογικό κέντρο που ήταν συμβατός με υπερπαραγωγή ινσουλίνης από πιθανό ινσουλίνωμα. Παρά ταύτα, ο απεικονιστικός έλεγχος με αξονική τομογραφία άνω-κάτω κοιλίας με λεπτές τομές (MDCT) και μαγνητική τομογραφία (MRI) κοιλίας δεν ανέδειξε τον όγκο. Ο ασθενής παραπέμφθηκε για έλεγχο του παγκρέατος με ενδοσκοπικό υπέρηχο (EUS). Ο ενδοσκοπικός υπέρηχος με linearενδοσκόπιο έδειξε ένα στρόγγυλο, υποηχοϊκό μόρφωμα, με ομαλή παρυφή, διαμέτρου μόλις 6 χιλιοστών στα όρια σώματος και ουράς του παγκρέατος. Δεν κρίθηκε σκόπιμο να γίνει βιοψία, αφού τα ευρήματα ήταν τυπικά ενός νευροενδοκρινικού όγκου. Το ινσουλίνωμα ήταν κοντά στην επιφάνεια του παγκρέατος και σε απόσταση από τον κυρίως παγκρεατικό πόρο. Συνεστήθη χειρουργική αφαίρεση με εκπυρήνιση του όγκου αλλά ο ασθενής προτίμησε να ακολουθήσει συντηρητική αγωγή με διαζοξίδη.
https://mail.alkis-efthymiou.com/peristatika-gastrenterologos-thessaloniki.html#sigProGalleriac029a104a8
4) Χολαγγειοκαρκίνωμα πυλών ήπατος (όγκος Klatskin)
Άνδρας 61 ετών με ανώδυνο αποφρακτικό ίκτερο υποβλήθηκε σε μαγνητική τομογραφία που έδειξε διάταση ενδοηπατικών χοληφόρων με στένωση του κοινού ηπατικού πόρου και της συμβολής του δεξιού και αριστερού ηπατικού πόρου, εικόνα συμβατή με χολαγγειοκαρκίνωμα της πύλης του ήπατος (όγκος Klatskin, Bismuth IV). Επίσης συνυπήρχε θρόμβωση πυλαίας φλέβας, ασκιτικό υγρό και ευμεγέθεις λεμφαδένες πέριξ της κεφαλής του παγκρέατος και στον ηπατοδωδεκαδακτυλικό σύνδεσμο. Το νεόπλασμα κρίθηκε ανεγχείρητο μετά από συζήτηση σε συμβούλιο πολλαπλών ειδικοτήτων και ο ασθενής υποβλήθηκε σε ενδοσκοπική παλίνδρομη χολαγγειο-παγκρεατογραφία (ERCP) για αποσυμφόρηση του ικτέρου. Στην ERCP έγινε λήψη κυττάρων από την περιοχή της στένωσης με βούρτσα κυτταρολογικής, διαστολή της στένωσης με μπαλόνι και επιτυχής τοποθέτηση ακάλυπτου, μεταλλικού stent μήκους 10εκ. Μετά την ERCP, ο ασθενής βελτιώθηκε κλινικά με σημαντική υποχώρηση του ικτέρου.
MRI: απόφραξη κοινού ηπατικού πόρου με διάταση ενδοηπατικών χολαγγείων
MRI: απόφραξη κοινού ηπατικού πόρου με διάταση ενδοηπατικών χολαγγείων
MRI: περιπαγκρεατικός λεμφαδένας
MRI: περιπαγκρεατικός λεμφαδένας
MRI: περιπαγκρεατικός λεμφαδένας
MRI: περιπαγκρεατικός λεμφαδένας
ERCP
ERCP
ERCP: σφιγκτηροτομή
ERCP: σφιγκτηροτομή
ERCP: διαστολή στένωσης
ERCP: διαστολή στένωσης
Τοποθέτηση μεταλλικού stent
Τοποθέτηση μεταλλικού stent
https://mail.alkis-efthymiou.com/peristatika-gastrenterologos-thessaloniki.html#sigProGalleria7299edebca
5) Λεμφαδενοπάθεια μεσοθωρακίου και περιτοναϊκής κοιλότητας – Βιοψία με Ενδοσκοπικό Υπέρηχο
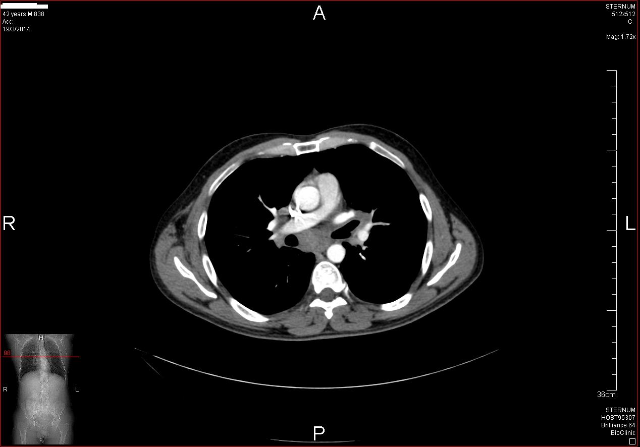
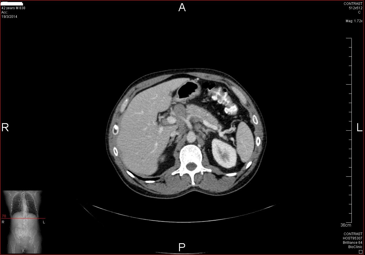
Άνδρας 43 ετών, χωρίς προηγούμενο ατομικό ή οικογενειακό ιστορικό, εμφάνισε επίμονους εμέτους και επιγαστραλγία. Υποβλήθηκε σε αξονική τομογραφία θώρακος, άνω και κάτω κοιλίας από το θεράποντα ιατρό του που έδειξε διάχυτη θωρακική και κοιλιακή λεμφαδενοπάθεια, με διογκωμένους λεμφαδένες στον υποτροπιδικό χώρο, στον αλλήρειο τρίποδα, στον ηπατοδωδεκαδακτυλικό σύνδεσμο και πέριξ του παγκρέατος. Ο ασθενής παραπέμφθηκε για ενδοσκοπικό υπέρηχο και λήψη βιοψιών από τους λεμφαδένες. Έγινε βιοψία με ειδική βελόνα για λήψη ιστοτεμαχίων (Pro-Core 19g) από λεμφαδένες σε 3 διαφορετικές θέσεις (υποτροπιδικά, αλληρείου τρίποδα και ηπατοδωδεκαδακτυλικού συνδέσμου). Η ιστολογική εξέταση και ο ανοσοϊστοχημικός έλεγχος έδειξε αδενοκαρκίνωμα χαμηλής διαφοροποίησης χωρίς θετικότητα στις επιμέρους, ειδικές χρώσεις. Ο ενδοσκοπικός έλεγχος του πεπτικού επιβεβαίωσε την ύπαρξη νεο-εξεργασίας στην ηπατική καμπή του παχέος εντέρου που ιστολογικά ήταν ένα αδενοκαρκίνωμα χαμηλής διαφοροποίησης. Ο ασθενής παραπέμφθηκε για προεγχειρητική χημειοθεραπεία και χειρουργική αντιμετώπιση.
CT: υποτροπιδικός λεμφαδένας
CT: υποτροπιδικός λεμφαδένας
CT: λεμφαδένας αλληρείου τρίποδα
CT: λεμφαδένας αλληρείου τρίποδα
CT: λεμφαδένας ηπατοδωδεκαδακτυλικού συνδέσμουνδεσμο
CT: λεμφαδένας ηπατοδωδεκαδακτυλικού συνδέσμουνδεσμο
Βιοψία υποτροπιδικός λεμφαδένας (EUS-FNA)
Βιοψία υποτροπιδικός λεμφαδένας (EUS-FNA)
Βιοψία λεμφαδένα ηπατοδωδεκαδακτυλικού συνδέσμου (EUS-FNA)
Βιοψία λεμφαδένα ηπατοδωδεκαδακτυλικού συνδέσμου (EUS-FNA)
Μάζα παχέος εντέρου στην κολονοσκόπηση
Μάζα παχέος εντέρου στην κολονοσκόπηση
https://mail.alkis-efthymiou.com/peristatika-gastrenterologos-thessaloniki.html#sigProGalleria4b35e6a7e6
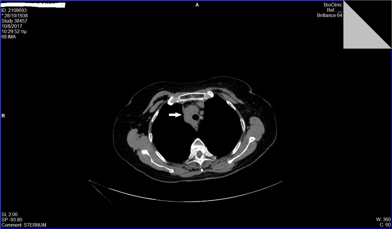
6) Βιοψία μάζας μεσοθωρακίου με ενδοσκοπικό υπέρηχο (EUS-FNA)
Γυναίκα 79 ετών παρουσίασε απώλεια βάρους 5 κιλών από 3μήνου, χωρίς άλλα συμπτώματα. Από το ατομικό αναμνηστικό της ήταν καπνίστρια ενός πακέτου τσιγάρων επί τουλάχιστον 40 χρόνια. Στην αξονική τομογραφία (CT) θώρακος και άνω-κάτω κοιλίας διαπιστώθηκε μια παρατραχειακή μάζα μεσοθωρακίου, διαμέτρου 3εκ. Η μάζα εκτεινόταν μπροστά από την τραχεία, κυκλοτερώς προς τα δεξιά της, μέχρι όπισθεν της και παραοισοφαγικά. Η ασθενής υποβλήθηκε αρχικά σε βρογχοσκόπηση που ήταν φυσιολογική χωρίς να τεθεί η διάγνωση και στη συνέχεια παραπέμφθηκε για βιοψία της μάζας με ενδοσκοπικό υπέρηχο (EUS). Στον ενδοσκοπικό υπέρηχο, η μάζα ήταν υποηχοϊκή, ανομοιογενής, με αγγειοβρίθεια . Έγινε βιοψία με λεπτή βελόνη 22g (FNA X 3) από διαφορετικές θέσεις της μάζας. Η κυτταρολογική εξέταση με cell block έδειξε μορφολογικά και ανοσοφαινοτυπικά ευρήματα συμβατά με μικροκυτταρικό καρκίνωμα πνεύμονα (θετική ανοσοϊστοχημεία σε TTF-1, CD56 και γενική κερατίνη). Η ασθενής παραπέμφθηκε σε ογκολόγο για έναρξη χημειοθεραπείας.
CT θώρακος: παρατραχειακή μάζα (βέλος)
CT θώρακος: παρατραχειακή μάζα (βέλος)
EUS: μάζα πέριξ της τραχείας και του ανώτερου οισοφάγου
EUS: μάζα πέριξ της τραχείας και του ανώτερου οισοφάγου
EUS: ευμεγέθης μάζα
EUS: ευμεγέθης μάζα
Βιοψία με λεπτή βελόνη (EUS-FNA)
Βιοψία με λεπτή βελόνη (EUS-FNA)
https://mail.alkis-efthymiou.com/peristatika-gastrenterologos-thessaloniki.html#sigProGalleria28f242d2a6
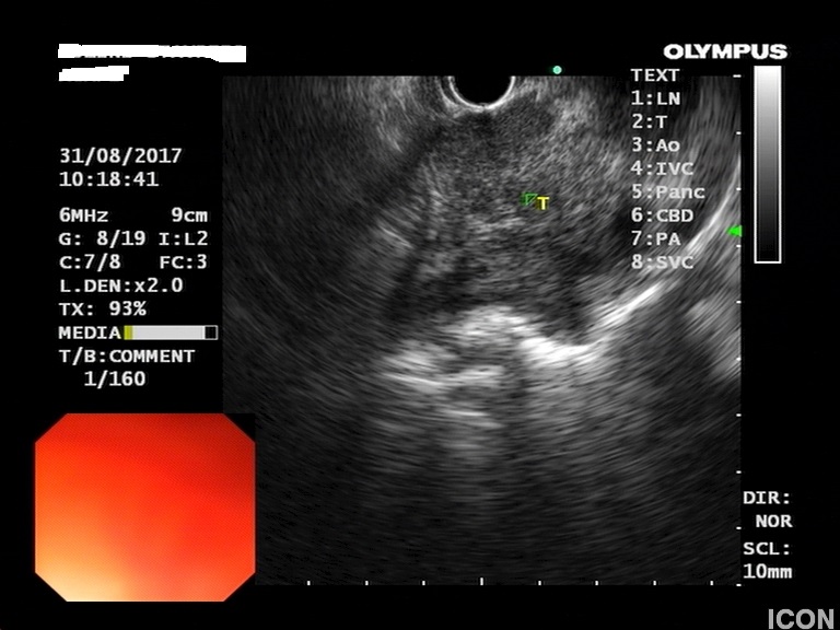
7) Στρωματικός όγκος πεπτικού (gastrointestinal stromal tumour, GIST)
Γυναίκα 54 ετών εμφάνισε τους προηγούμενους 6-8 μήνες έντονη μυική αδυναμία και αδυναμία βάδισης και μετά τον ανάλογο κλινικό και εργαστηριακό έλεγχο τέθηκε η διάγνωση της μυασθένειας gravis. Στα πλαίσια της διερεύνησης, υποβλήθηκε σε αξονική τομογραφία (CT) θώρακος, άνω-κάτω κοιλίας και γαστροσκόπηση όπου διαπιστώθηκε ένας υποβλεννογόνιος όγκος διαμέτρου 5εκ στο σώμα του στομάχου. Η ασθενής παραπέμφθηκε για ενδοσκοπικό υπέρηχο και βιοψία (EUS-FNA). Στον ενδοσκοπικό υπέρηχο, o όγκος παρουσίαζε έντονη ανομοιογένεια του παρεγχύματος του, με υπερηχοϊκές περιοχές αλλά και υποηχοϊκές κύστεις. Τα όρια του ήταν σαφή, ομαλά, δεν εμφάνιζε εσωτερικές επασβεστώσεις και είχε έντονη αγγείωση. Ο όγκος προερχόταν από την 4η υπερηχογραφική στιβάδα του τοιχώματος, δηλ το μυικό χιτώνα. Έγινε βιοψία με λεπτή βελόνη 19g (FNA X 3) από διαφορετικές θέσεις της μάζας. Η ιστολογική εξέταση έδειξε ατρακτόμορφα κύτταρα με μέτρια ατυπία και η ανοσοϊστοχημεία έδειξε ήπια καθολική θετικότητα στο αντιγόνο c-kit και έντονη θετικότητα στο αντιγόνο CD34, ευρήματα συμβατά με στρωματικό όγκο πεπτικού. Η ασθενής παραπέμφθηκε σε χειρουργό για χειρουργική αντιμετώπιση.
Γαστροσκόπηση: υποβλεννογόνιος όγκος στομάχου
Γαστροσκόπηση: υποβλεννογόνιος όγκος στομάχου
EUS: ευμεγέθης υποβλεννογόνιος όγκος διαμέτρου 5εκ
EUS: ευμεγέθης υποβλεννογόνιος όγκος διαμέτρου 5εκ
EUS: ο όγκος εξορμάται από το μυικό χιτώνα και περιέχει κυστικές περιοχές
EUS: ο όγκος εξορμάται από το μυικό χιτώνα και περιέχει κυστικές περιοχές
Βιοψία με λεπτή βελόνη (EUS-FNA)
Βιοψία με λεπτή βελόνη (EUS-FNA)
https://mail.alkis-efthymiou.com/peristatika-gastrenterologos-thessaloniki.html#sigProGalleriaeb1cda83cc
8) Νευρόλυση κοιλιακού πλέγματος με ενδοσκοπικό υπέρηχο (EUS-guided celiac plexus neurolysis)
Aσθενής 68 ετών με ιστορικό χειρ/θέντος καρκίνου φύματος Vater προ 2ετίας, εμφάνισε πρόσφατα αύξηση του καρκινικού δείκτη CEA καθώς και επίμονο κοιλιακό άλγος στο επιγάστριο και αριστερό υποχόνδριο. Ο ασθενής είχε ήδη υποβληθεί σε μετεγχειρητική χημειοθεραπεία με 3 διαφορετικά σχήματα. Στην αξονική τομογραφία κοιλίας διαπιστώθηκε τοπική υποτροπή της νόσου με παρουσία μάζας διαμέτρου 3εκ στη ρίζα του μεσεντερίου, κοντά στον αλλήρειο τρίποδα. Ο ασθενής υποβλήθηκε επιτυχώς σε νευρόλυση του κοιλιακού πλέγματος με ενδοσκοπικό υπέρηχο (EUS-guided celiac plexus neurolysis) προς επίτευξη αναλγησίας.
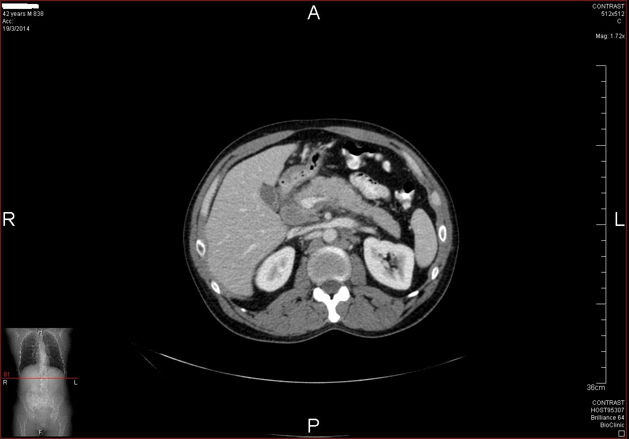
9) Παροχέτευση ψευδοκύστης παγκρέατος με την καθοδήγηση του ενδοσκοπικού υπερήχου και τοποθέτηση Hot Axios stent
Γυναίκα 33 ετών, με ιστορικό χειρουργικής παροχέτευσης ψευδοκύστης παγκρέατος προ 8ετίας, προσήλθε με κοιλιακό άλγος και εμέτους. Η αξονική τομογραφία κοιλίας έδειξε επανεμφάνιση μιας μεγάλης ψευδοκύστης με διάμετρο 11εκ στην περιοχή της παγκρεατικής κεφαλής, η οποία προκαλούσε πιεστικά φαινόμενα στο βολβό και τη 2η μοίρα του δωδεκαδακτύλου. Η κύστη περιείχε αρκετή ποσότητα υπερηχογενούς υλικού. Έγινε παροχέτευση της κύστης με τοποθέτηση LAMS (Hot Axios stent) 15x10χιλ από το δωδεκαδάκτυλο, με την καθοδήγηση του ενδοσκοπικού υπερήχου. Η όλη διαδικασία διήρκεσε 10 λεπτά και η ασθενής εξήλθε από την κλινική την επόμενη ημέρα. Σε επανέλεγχο μετά από 2 εβδομάδες η ψευδοκύστη είχε μικρύνει σε διάμετρο 3,3εκ. Το stent αφαιρέθηκε μετά από 5 συνολικά εβδομάδες χωρίς καμία επιπλοκή.
Ευμεγέθης ψευδοκύστη παγκρέατος
Ευμεγέθης ψευδοκύστη παγκρέατος
Υπερηχογραφική απεικόνιση του Hot Axios stent
Υπερηχογραφική απεικόνιση του Hot Axios stent
Eνδοσκοπική εικόνα του άκρου του stent στο δωδεκαδάκτυλο
Eνδοσκοπική εικόνα του άκρου του stent στο δωδεκαδάκτυλο
Θέση του stent ανάμεσα σε δωδεκαδάκτυλο και ψευδοκύστη
Θέση του stent ανάμεσα σε δωδεκαδάκτυλο και ψευδοκύστη
Η ψευδοκύστη μετά από 2 εβδομάδες
Η ψευδοκύστη μετά από 2 εβδομάδες
https://mail.alkis-efthymiou.com/peristatika-gastrenterologos-thessaloniki.html#sigProGalleria41508a4389
Αλκιβιάδης Ευθυμίου - Γαστρεντερολόγος Ηπατολόγος στη Θεσσαλονίκη
Κλείστε το ραντεβού σας σήμερα! Η πρόληψη σώζει ζωές!
Για περισσότερες πληροφορίες και ραντεβούμε τον ειδικό γαστρεντερολόγο στη Θεσσαλονίκη , επικοινωνήστε μαζί μας τηλεφωνικά ή με email.
