Monday, 01 September 2025 09:41

Ενδοσκοπικός Υπέρηχος

Written by
Rate this item
(5 votes)

Ενδοσκοπικός Υπέρηχος - Γαστραντερολογος Θεσσαλονικη 

Τι είναι ο Ενδοσκοπικός Υπέρηχος;
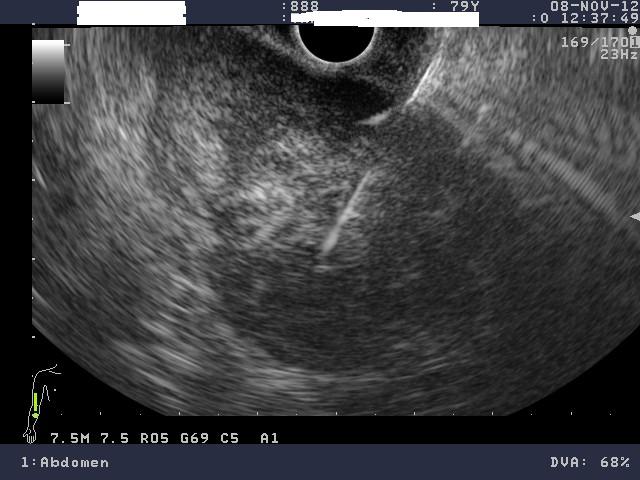
Eίναι μια τεχνική που συνδυάζει την ευελιξία του ενδοσκοπίου με την τεχνική των υπερήχων.


Με τη βοήθεια ειδικού ενδοσκοπίου, που εκτός από την οπτική κάμερα, φέρει στο άκρο του μια κεφαλή υπερήχων, διενεργείται υπέρηχος στα όργανα της κοιλιακής χώρας, μέσα από τον οισοφάγο, τον στόμαχο ή το παχύ έντερο. Επειδή η κεφαλή του υπερήχου είναι σε άμεση επαφή με το όργανο του σώματος που εξετάζεται, η διακριτική ικανότητα του ενδοσκοπικού υπερήχου είναι πολύ υψηλή. Μέσα από το κανάλι του ενδοσκοπίου μπορεί να περάσει λεπτή βελόνα με την οποία λαμβάνονται «βαθιές» βιοψίες από το τοίχωμα του στομάχου ή του εντέρου, αλλά και από γειτονικά όργανα (πάγκρεας, λεμφαδένες).

Πώς γίνεται η εξέταση;
Για την εξέταση ο ασθενής προσέρχεται νήστις από το πρωί και υποβάλλεται σε μέτρια «νάρκωση», χωρίς την παρουσία αναισθησιολόγου. Η εξέταση διαρκεί 30-60 λεπτά, είναι εντελώς ανώδυνη και ο ασθενής επιστρέφει σπίτι του αμέσως μετά. Η εξέταση του ορθού και του πρωκτού είναι ακόμη πιο εύκολη και σύντομη, γίνεται μετά από προετοιμασία του εντέρου με ένα κλύσμα και δεν απαιτεί καθόλου νάρκωση.

Σε ποιες παθήσεις είναι χρήσιμη η εξέταση;
•    Σε ασθενείς με καρκίνο οισοφάγου, στομάχου, παγκρέατος, χοληφόρων και ορθού για να διαπιστωθεί το «βάθος» διήθησης του τοιχώματος από τη νόσο, καθώς και η επέκταση στους τοπικούς λεμφαδένες, πριν από την έναρξη θεραπείας.
•    Σε ασθενείς με καρκίνο παγκρέατος όπου γίνεται βιοψία και λήψη υλικού από το πάγκρεας για να τεθεί η διάγνωση, πριν από την έναρξη της θεραπείας.
•    Σε ασθενείς με παγκρεατικές κύστεις στους οποίους γίνεται λήψη υγρού από την κύστη για τη μέτρηση ενζύμων και καρκινικών δεικτών αλλά και θεραπευτική αναρρόφηση.
•    Σε ασθενείς με υποβλεννογόνιους όγκους πεπτικού όπου διαπιστώνεται από ποια στιβάδα του τοιχώματος εξορμάται ο όγκος και κατά συνέπεια το είδος του.
•    Για τη διάγνωση περιπτώσεων χολολιθίασης ή χοληδοχολιθίασης που δεν ανιχνεύτηκαν από τις κλασικές μεθόδους απεικόνισης (διακοιλιακός υπέρηχος, αξονική ή μαγνητική τομογραφία).
•    Για τη διάγνωση βλαβών των σφιγκτήρων του πρωκτού.

Θεραπευτικός ενδοσκοπικός υπέρηχος στη Θεσσαλονικη

Ο ενδοσκοπικός υπέρηχος όμως, εκτός από τη διαγνωστική του ιδιότητα, έχει πλέον εξελιχθεί σε μια επεμβατική ενδοσκοπική μέθοδο που αποτελεί μια εναλλακτική λύση αντί των υπαρχόντων επεμβατικών ακτινολογικών ή χειρουργικών μεθόδων και μπορεί πια να προσφέρει οριστική θεραπεία στις παρακάτω περιπτώσεις ασθενών:
• Σε ασθενείς με περιπαγκρεατικές συλλογές δηλ. περιχαρακωμένες νεκρώσεις (walled-off necrosis) ή ψευδοκύστεις μετά από επεισόδιο οξείας παγκρεατίτιδας. Σε αυτούς γίνεται ενδοσκοπική παροχέτευση των συλλογών με τοποθέτηση πλαστικών ή μεταλλικών stent (LAMS, lumen apposing stents) μέσα από τον στόμαχο ή το δωδεκαδάκτυλο. Έτσι αποφεύγονται βαρύτατα χειρουργεία.
• Σε βεβαρημένους ασθενείς με οξεία χολοκυστίτιδα που δεν μπορούν να χειρουργηθούν λόγω υψηλής συ-νοσηρότητας και αυξημένου κινδύνου θανάτου. Σε αυτούς τοποθετείται μεταλλικό, πλήρως καλυμμένο stent (LAMS) διαγαστρικά, με την καθοδήγηση του ενδοσκοπικού υπερήχου και παροχετεύεται η χολή στον στόμαχο.
• Σε ασθενείς με απόφραξη του ανώτερου πεπτικού από ανεγχείρητους καρκινικούς όγκους στομάχου ή παγκρέατος, στους οποίους γίνεται γαστρο-εντερική αναστόμωση ενδοσκοπικά, με την χρήση των LAMS, χωρίς ο ασθενής να υποβληθεί στο αντίστοιχο χειρουργείο.
• Σε ασθενείς με νευροενδοκρινικούς όγκους παγκρέατος, στους οποίους γίνεται καταστροφή των όγκων με την εφαρμογή ραδιοσυχνοτήτων μέσα από το ηχοενδοσκόπιο (EUS-RFA, EUS—radiofrequency ablation) χωρίς ο ασθενής να υποβληθεί σε χειρουργική εκτομή.
• Σε ασθενείς με καρκίνο παγκρέατος και έντονο πόνο που χρειάζονται μεγάλες δόσεις αναλγητικών φαρμάκων. Σε αυτούς γίνεται καταστροφή του κοιλιακού πλέγματος (νευρόλυση) με έγχυση απόλυτης αλκοόλης, με τη βοήθεια του ενδοσκοπικού υπερήχου (ΕUS-guided celiac plexus neurolysis). Αυτό έχει σαν αποτέλεσμα την ανακούφιση του πόνου και την διακοπή των αναλγητικών.

Αλκιβιάδης Ευθυμίου - Γαστρεντερολόγος Ηπατολόγος στη Θεσσαλονίκη

Κλείστε το ραντεβού σας σήμερα! Η πρόληψη σώζει ζωές!
Για περισσότερες πληροφορίες και ραντεβούμε τον ειδικό γαστρεντερολόγο στη Θεσσαλονίκη , επικοινωνήστε μαζί μας τηλεφωνικά ή με email.

Read 49980 times Last modified on Tuesday, 04 November 2025 20:19