Monday, 31 March 2025 10:15

Πολυπεκτομή / Βλεννογονεκτομή

Written by
Rate this item
(0 votes)

Πολυπεκτομή / ΒλεννογονεκτομήΤι είναι οι πολύποδες;
Οι πολύποδες του παχέος εντέρου είναι μικροί όγκοι οι οποίοι ξεκινούν από
την εσωτερική επιφάνεια του τοιχώματος του παχέος εντέρου και προβάλλουν
μέσα στον αυλό του. Οι πολύποδες του παχέος εντέρου είναι αρκετά συχνοί,
και ανευρίσκονται σε ποσοστό 25% περίπου των κολονοσκοπήσεων. Δεν
πρόκειται για κακοήθεις όγκους, αλλά για αδενώματα, τα οποία ωστόσο
μπορεί να μετατραπούν σε καρκινώματα μετά από χρόνια, εάν δεν
αφαιρεθούν.

Τι είναι η πολυπεκτομή / βλεννογονεκτομή (EMR);
Με τον όρο αυτό περιγράφεται η αφαίρεση πολυπόδων του παχέος εντέρου
κατά τη διάρκεια της κολονοσκόπησης. Με τον τρόπο αυτό έχει αποδειχθεί
πως μειώνεται σημαντικά ο κίνδυνος εμφάνισης καρκίνου του παχέος
εντέρου.

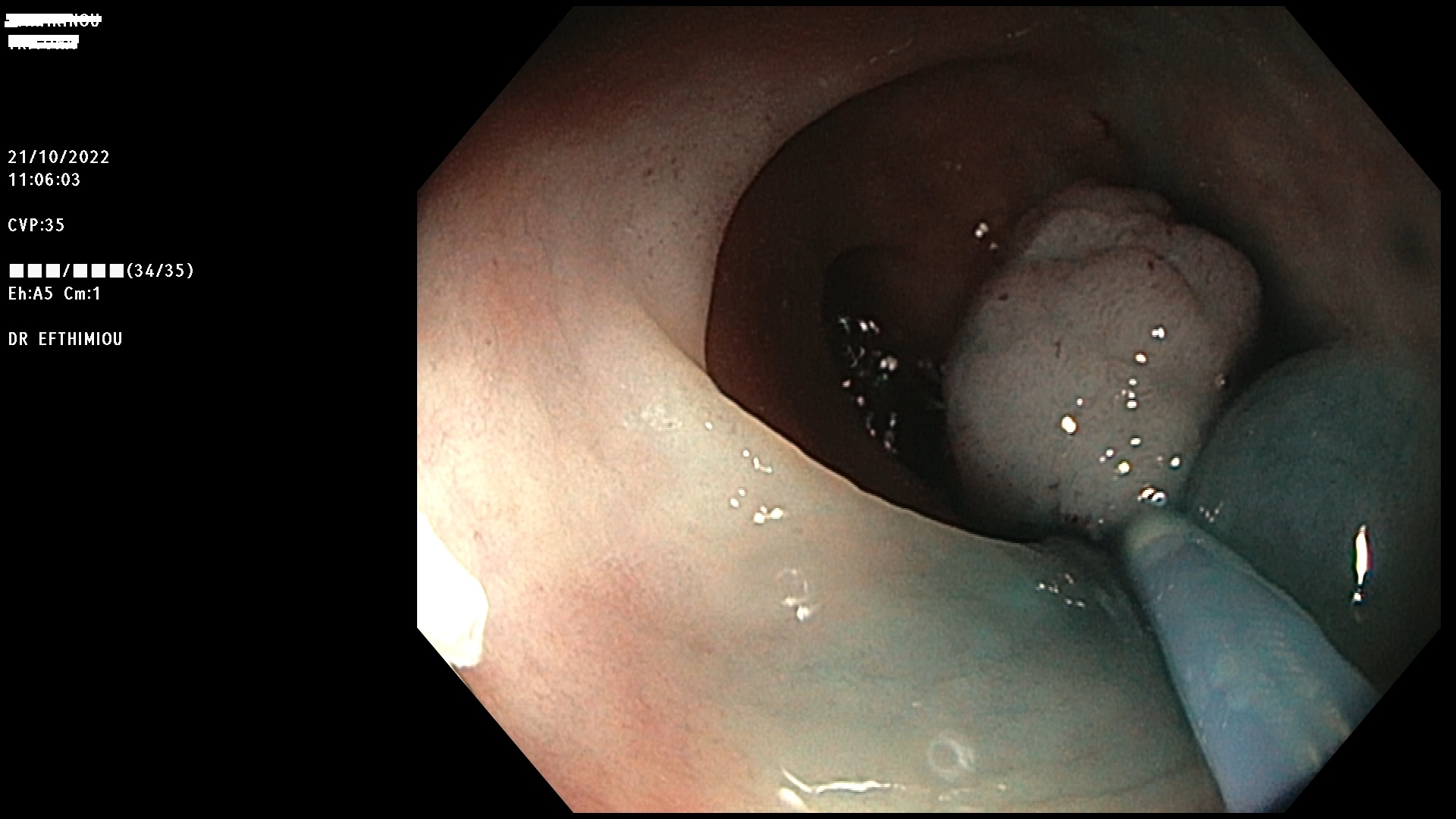
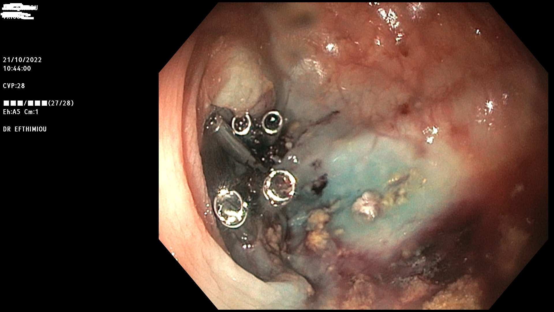
Πως γίνεται η πολυπεκτομή / βλεννογονεκτομή;
Η επέμβαση γίνεται κατά τη διάρκεια της κολονοσκόπησης με τη χρήση
διαφόρων εργαλείων (λαβίδες, βελόνες υποβλεννογόνιας έγχυσης, βρόχοι
διαθερμίας, ψυχροί βρόχοι, endoloops, κ.ά.) ανάλογα με το μέγεθος, τη
μορφολογία και την εντόπιση του πολύποδα (Εικόνες 1-3). Ο ασθενής
βρίσκεται σε ήπια καταστολή («μέθη») και δεν αισθάνεται καθόλου πόνο.

Πόσο ασφαλής είναι;
Η πολυπεκτομή είναι γενικά μια πολύ ασφαλής επέμβαση. Επιπλοκές
μπορούν να συμβούν εξαιρετικά σπάνια. Οι πιο συχνές είναι η αιμορραγία και
η διάτρηση. Η αιμορραγία αντιμετωπίζεται με επιτυχία κατά τη διάρκεια της
κολονοσκόπησης με συγκεκριμένες τεχνικές (εφαρμογή αιμοστατικών clips,
έγχυση διαλύματος αδρεναλίνης, καυτηριασμός του αγγείου). Σε περίπτωση
διάτρησης του εντέρου, εάν αυτή είναι μικρή, μπορεί να αντιμετωπιστεί
ενδοσκοπικά με την εφαρμογή ειδικών clips, ενώ εάν είναι μεγάλη, ο ασθενής
ενδέχεται να χρειαστεί χειρουργική επέμβαση. H αντιμετώπιση των
επιπλοκών είναι επιτυχής σχεδόν σε όλες τις περιπτώσεις, όταν γίνεται από
έμπειρους ενδοσκόπους.

Όλες οι επεμβάσεις αυτές διενεργούνται στην κλινική και δεν απαιτούν
νοσηλεία.

Τι χρειάζεται να κάνω μετά την πολυπεκτομή;
Στη συντριπτική πλειοψηφία των περιπτώσεων ο ασθενής μετά την ανάνηψη
από τη μέθη επιστρέφει στο σπίτι και τις δραστηριότητές του. Σε μακροχρόνια
βάση και επειδή οι πολύποδες συχνά επανεμφανίζονται, είναι επιβεβλημένος
ο περιοδικός έλεγχος με κολονοσκόπηση σε χρονικά διαστήματα που
καθορίζονται ανάλογα με το μέγεθος, τον αριθμό και τον ιστολογικό τύπο των
αφαιρεθέντων πολυπόδων. Προτείνεται μάλιστα να γίνει έλεγχος για
πολύποδες και στα υπόλοιπα μέλη της οικογένειας, με βάση τον ιστολογικό
τύπο του πολύποδα που εξαιρέθηκε.

Κλείστε το ραντεβού σας σήμερα! Η πρόληψη σώζει ζωές!
Για περισσότερες πληροφορίες και ραντεβούμε τον ειδικό γαστρεντερολόγο στη Θεσσαλονίκη , επικοινωνήστε μαζί μας τηλεφωνικά ή με email.

Read 31288 times Last modified on Thursday, 26 June 2025 15:41
More in this category: « Τοποθέτηση Stent