Monday, 01 September 2025 09:41

Παθήσεις χοληφόρων-παγκρέατος και αντιμετώπιση με ERCP

Written by
Rate this item
(1 Vote)

Περίληψη

Η Ενδοσκοπική Παλίνδρομη Χολαγγειο-Παγκρεατογραφία (ERCP) είναι μια σύνθετη τεχνική που χρησιμοποιείται για τη διάγνωση, αλλά κυρίως για την αντιμετώπιση των  παθήσεων των χοληφόρων και του παγκρέατος. Ο ρόλος της τα τελευταία χρόνια είναι σχεδόν αποκλειστικά θεραπευτικός, αφού η διάγνωση επιτυγχάνεται ευκολότερα με λιγότερο επεμβατικές τεχνικές.

Οι κυριότερες ενδείξεις της ERCP είναι η λιθίαση του χοληδόχου πόρου, η διαφυγή χολής μετά από χολοκυστεκτομή, οι καλοήθεις στενώσεις των χοληφόρων, οι όγκοι παγκρέατος και χοληφόρων και η  χρόνια παγκρεατίτιδα. Σε όλες τις παραπάνω περιπτώσεις, η ERCP μπορεί να επιτύχει την οριστική θεραπεία του ασθενούς, χωρίς να απαιτηθεί η διενέργεια χειρουργικής επέμβασης η οποία συνήθως έχει μεγαλύτερα ποσοστά θνητότητας και θνησιμότητας. 

Εισαγωγή

Η ERCP (ενδοσκοπική παλίνδρομη χολαγγειοπαγκρεατογραφία) είναι η εξέταση που χρησιμοποιείται για τη διάγνωση και αντιμετώπιση παθήσεων των χοληφόρων και του παγκρέατος, με την βοήθεια του ειδικού ενδοσκοπίου και της ακτινοσκόπησης. Τα χοληφόρα αποτελούν το αποχετευτικό σύστημα του ήπατος, μέσω του οποίου απεκκρίνεται η χολή στο δωδεκαδάκτυλο, σε μία περιοχή που ονομάζεται φύμα του Vater.Ο παγκρεατικός πόρος παροχετεύει τα παγκρεατικά υγρά στο ίδιο σημείο. Σήμερα, η ERCP έχει αντικαταστήσει πολλές από τις χειρουργικές επεμβάσεις που γίνονταν παλαιότερα για τα νοσήματα των χοληφόρων και του παγκρέατος. Ενώ αρχικά ήταν μια καθαρά διαγνωστική εξέταση, με την πάροδο των ετών ο ρόλος της εξελίχθηκε σε σχεδόν αποκλειστικά επεμβατικό, παραχωρώντας το διαγνωστικό πεδίο σε άλλες λιγότερο επεμβατικές τεχνικές, όπως η MRCP (μαγνητική χολαγγειο-παγκρεατογραφία) και ο ενδοσκοπικός υπέρηχος. Η διαγνωστική ERCP ακόμα εφαρμόζεται για τη διενέργεια μανομετρίας, σε περιπτώσεις που υπάρχει υποψία γιαδυσλειτουργία του σφιγκτήρα του Oddi και για τη διάγνωση της πρωτοπαθούς σκληρυντικής χολαγγειίτιδας, όταν οι υπόλοιπες εξετάσεις είναι μη διαγνωστικές. 

Η ERCP μπορεί να πραγματοποιηθεί με μέτρια νάρκωση, αν και σε δύσκολες περιπτώσεις ή σε βαριά ασθενείς απαιτείται η παρουσία αναισθησιολόγου.

Ενδείξεις

Εκτός από τις δυο προαναφερθείσες περιπτώσεις διαγνωστικής ERCP, οι ενδείξεις της επεμβατικής μεθόδου είναι:

Ø  Η λιθίαση του χοληδόχου πόρου

Ø  Η διαφυγή χολής μετά από χολοκυστεκτομή

Ø  Οι καλοήθεις στενώσεις των χοληφόρων

Ø  Οι όγκοι παγκρέατος και χοληφόρων

Ø  Η χρόνια παγκρεατίτιδα

Λιθίαση χοληδόχου πόρου

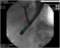
Η ERCP συνήθως διενεργείται σε ασθενείς με γνωστή χοληδοχολιθίαση ή σε εκείνους τους ασθενείς στους οποίους υπάρχει τουλάχιστον μέτρια κλινική υποψία χοληδοχολιθίασης. Στους ασθενείς με χαμηλή κλινική υποψία χοληδοχολιθίασης, προτιμώνται άλλες διαγνωστικές εξετάσεις όπως η MRCP και ο ενδοσκοπικός υπέρηχος, για την ελαχιστοποίηση της πιθανότητας επιπλοκών. Η συνήθης μέθοδος για την απομάκρυνση των λίθων είναι ηενδοσκοπική σφιγκτηροτομή, η οποία επιτρέπει την διάνοιξη του φύματος και την εξαγωγή των λίθων με τη χρήση μπαλονιού ή καλαθιού (basket) προς το δωδεκαδάκτυλο. Εικόνες 1 και 2.

γαστρεντερολογος θεσσαλονικηimage004 1

Eικόνα 1: Ασθενής με εναπομείναντα ευμεγέθη           Εικόνα 2:Ασθενής με λιθίαση στη μεσότητα του

λίθο (μαύρο βέλος) στο κατώτερο τμήμα του                           χοληδόχου πόρου (κόκκινο βέλος), καθώς και

χοληδόχου πόρου, μετά από χολοκυστεκτομή –          ευμεγέθη λίθο στον αυχένα της χοληδόχου κύστης

Αφαίρεση με μπαλόνι (λευκό βέλος).                      (μπλε βέλος). Έγινε σφιγκτηροτομή και καθαρισμός του πόρου και την επόμενη ημέρα ο ασθενής υπεβλήθη σε λαπαροσκοπική

                                                                                      χολοκυστεκτομή.

                                                                                                                                                                                                                                                               Μια εναλλακτική μέθοδος διάνοιξης του φύματος είναι η διαστολή με μπαλόνι (σφιγκτηροπλαστική με μπαλόνι), στην οποία γίνεται διαστολή με μπαλόνι μικρής διαμέτρου (4-8 χιλιοστών). Συγκριτικά με την σφιγκτηροτομή, η σφιγκτηροπλαστική παρουσιάζει μεγαλύτερο ποσοστό παγκρεατίτιδας, αλλά μικρότερα ποσοστά αιμορραγίας.

Η αφαίρεση μεγάλων λίθων (>1,5εκ σε διάμετρο) απαιτεί τη χρήση επιπλέον τεχνικών, μια από τις οποίες είναι η μηχανική λιθοτριψία. Σε αυτήν, οι λίθοι συλλαμβάνονται με ειδικά καλάθια και συνθλίβονται. Τα θραύσματα αφαιρούνται με τους προαναφερθέντες τρόπους.

Διαφυγή χολής

Η διαφυγή χολής αποτελεί επιπλοκή μετά από χολοκυστεκτομή και συνήθως προέρχεται από το κολόβωμα του κυστικού πόρου ή από τους πόρους του Luschka. Η επιπλοκή αυτή αντιμετωπίζεται επιτυχώς είτε με τη διενέργεια μόνο σφιγκτηροτομής, είτε με την τοποθέτηση μιας μικρής διαμέτρου (7 French) πλαστικής ενδοπρόσθεσης (stent) στο χοληδόχο πόρο ή και με τα δυο.

Καλοήθεις στενώσεις των χοληφόρων 

Αυτές προκαλούνται από μια ποικιλία παθήσεων: χρόνια παγκρεατίτιδα, ως μετεγχειρητική επιπλοκή ( μετά από λαπαροσκοπική χολοκυστεκτομή, μεταμόσχευση ήπατος, ή εκτομή του χοληδόχου πόρου και αναστόμωση) και από την πρωτοπαθή σκληρυντική χολαγγειίτιδα. Η ενδοσκοπική θεραπεία συνίσταται στη διαστολή της στένωσης με μπαλόνι και στην επακόλουθη τοποθέτηση μιας ή περισσότερων πλαστικών ενδοπροσθέσεων.

Όγκοι χοληφόρων - παγκρέατος

Ο καρκίνος της κεφαλής του παγκρέατος είναι η πιο συχνή αιτία απόφραξης του περιφερικού τμήματος του χοληδόχου πόρου. Στους ασθενείς με καρκίνο της κεφαλής του παγκρέατος οι οποίοι θα υποβληθούν σε χειρουργική αφαίρεση του όγκου (τεχνική Whipple), δεν απαιτείται η αποσυμφόρηση των χοληφόρων προεγχειρητικά. Έχει αποδειχθεί σε πολλές μελέτες ότι αυτή η τακτική δεν βελτιώνει το χειρουργικό αποτέλεσμα, μπορεί να αυξήσει την μετεγχειρητική θνησιμότητα, ενώ τυχόν επιπλοκές της ERCP μπορεί να καθυστερήσουν ή να εμποδίσουν τη χειρουργική επέμβαση. Η προεγχειρητική ERCP ενδείκνυται μόνο στις περιπτώσεις οξείας χολαγγειίτιδας και έντονου κνησμού. Επιπλέον, η ERCP ενδείκνυται προεγχειρητικά στους ασθενείς που θα λάβουν χημειοθεραπεία και ακτινοθεραπεία πριν από τη χειρουργική επέμβαση (neoadjuvant chemoradiation), επειδή στις περιπτώσεις αυτές συνήθως ο χρόνος μέχρι το χειρουργείο επιμηκύνεται. Τα stent που χρησιμοποιούνται είναι συνήθως μικρού μήκους, μεταλλικά (ακάλυπτα ή επικαλυμμένα). Τα ακάλυπτα μεταλλικά stent αφαιρούνται μαζί με τον όγκο, κατά τη διάρκεια της χειρουργικής επέμβασης.

Η βασική ένδειξη της ERCP είναι η τοποθέτηση πλαστικής ή μεταλλικής ενδοπρόσθεσης (stent) για την αποσυμφόρηση του ίκτερου στις περιπτώσεις ανεγχείρητου καρκίνου της κεφαλής του παγκρέατος ή χολαγγειοκαρκινώματος, (δηλ καρκίνου του χοληδόχου πόρου, του κοινού ηπατικού πόρου, ή των πυλών του ήπατος). Η επιλογή του τύπου του stent εξατομικεύεται στον κάθε ασθενή. Σε γενικές γραμμές, τα πλαστικά stent αποφράσσονται από βακτηριδιακό υλικό ή ανάπτυξη του ίδιου του όγκου σε 3 μήνες κατά μέσο όρο, ενώ η βατότητα των μεταλλικών διαρκεί περισσότερο (περίπου 6 μήνες). Επίσης, υπάρχουν μεταλλικά stent μερικώς επικαλυμμένα για την αποφυγή της ανάπτυξης καρκινικού ιστού μέσα από τα κενά του πλέγματος τους (ingrowth). Επειδή τα μεταλλικά stent είναι πιο ακριβά, πρέπει να χρησιμοποιούνται μόνο στις περιπτώσεις που το προσδόκιμο επιβίωσης του ασθενούς είναι τουλάχιστον πάνω από 3-6 μήνες. Εικόνες  3 και 4.

image006γαστρεντερολογος θεσσαλονικη

Εικόνα 3. Ασθενής με εκτεταμένο χολαγγειοκαρκίνωμα Εικόνα 4. Τοποθέτηση πλαστικής 

των πυλών του ήπατος (Klatskin tumor) και κλινική       ενδοπρόσθεσης (stent) στον προηγούμενο 

εικόνα οξείας χολαγγειίτιδας.                                          ασθενή για την αποσυμφόρηση του ικτέρου και 

                                                                                        της φλεγμονής πριν από τη χειρουργική   

                                                                                        επέμβαση

Χρόνια παγκρεατίτιδα

Εκτός από την αντιμετώπιση μιας καλοήθους στένωσης του χοληδόχου πόρου ως συνέπεια μιας χρόνιας παγκρεατίτιδας, η ERCP εφαρμόζεται με επιτυχία και σε άλλες περιπτώσεις. Έτσι, μπορεί να βοηθήσει στην εξαγωγή λίθων από τον παγκρεατικό πόρο μετά από διατομή του παγκρεατικού σφιγκτήρα (παγκρεατική σφιγκτηροτομή), σε περιπτώσεις κυρίως αλκοολικής παγκρεατίτιδας. Επίσης, είναι δυνατή η τοποθέτηση πλαστικού stent στον παγκρεατικό πόρο, σε περίπτωση στένωσης του, καθώς και σε περιπτώσεις παγκρεατικών ψευδοκύστεων που επικοινωνούν με τον παγκρεατικό πόρο για την άρση του κωλύματος στην παροχέτευση των παγκρεατικών υγρών. Η παραπάνω ενδοσκοπική αντιμετώπιση έχει ως αποτέλεσμα όχι μόνο τη θεραπεία των επιπλοκών αυτών της χρόνιας παγκρεατίτιδας αλλά και την αντιμετώπιση του έντονου, βασανιστικού επιγαστρικού άλγους που πολλές φορές συνοδεύει τη νόσο.  

Συμπερασματικά, η ERCP είναι μια τεχνική που εξελίχθηκε και τελειοποιήθηκε στο πέρασμα των χρόνων και πρέπει να εφαρμόζεται όταν υπάρχουν οι απαραίτητες ενδείξεις. Με την εφαρμογή της, σε πολλές περιπτώσεις είναι δυνατή η αντιμετώπιση του ασθενούς χωρίς να απαιτηθεί ανοικτή χειρουργική επέμβαση. Επειδή η ERCP απαιτεί ειδικές δεξιότητες, είναι σωστό να εφαρμόζεται μόνο από γαστρεντερολόγους που διαθέτουν την απαραίτητη γνώση και εμπειρία, μετά φυσικά από την ανάλογη εκπαίδευση (τουλάχιστον 300 επεμβάσεις κατά τη διάρκεια της εξειδίκευσης), έτσι ώστε να εξασφαλίζονται χαμηλά ποσοστά επιπλοκών και η μεγαλύτερη δυνατή ασφάλεια για τον ασθενή.

Read 41385 times Last modified on Monday, 27 October 2025 22:21

Latest from Αλκιβιάδης Ευθυμίου - Γαστρεντερολόγος Ηπατολόγος